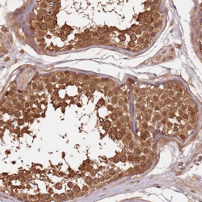
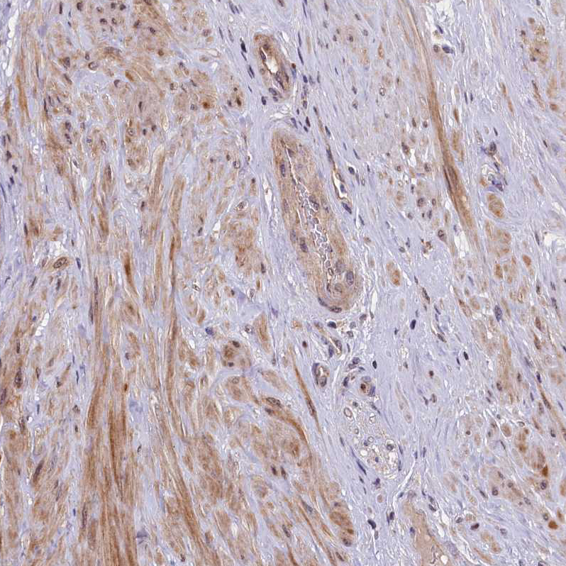
Ube3A Protein Atlas . We use cookies to enhance the. Mainly cytoplasmic but also nuclear staining in several tissues. Overview of the antibody staining. human protein atlas informationi. Summary of data presented in the tissue section, with a representative image of. summary of ube3a expression in human tissue.
from www.proteinatlas.org
Summary of data presented in the tissue section, with a representative image of. We use cookies to enhance the. human protein atlas informationi. summary of ube3a expression in human tissue. Mainly cytoplasmic but also nuclear staining in several tissues. Overview of the antibody staining.
Subcellular UBE3A The Human Protein Atlas
Ube3A Protein Atlas We use cookies to enhance the. human protein atlas informationi. summary of ube3a expression in human tissue. Summary of data presented in the tissue section, with a representative image of. Mainly cytoplasmic but also nuclear staining in several tissues. We use cookies to enhance the. Overview of the antibody staining.
From www.atlasantibodies.com
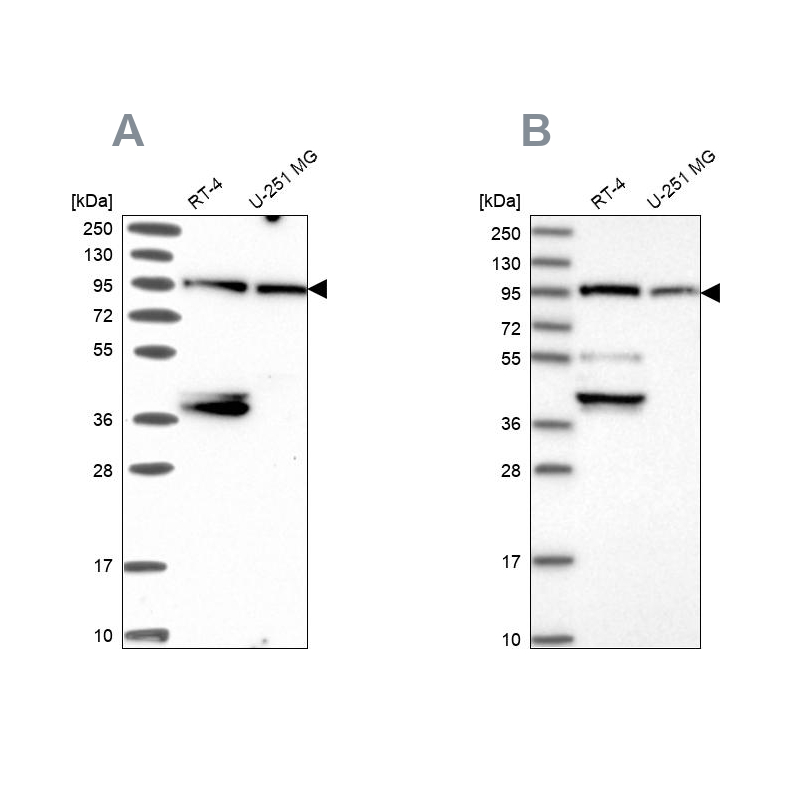
Rabbit Polyclonal AntiUBE3A Antibody Buy for research Highly Ube3A Protein Atlas We use cookies to enhance the. Overview of the antibody staining. Summary of data presented in the tissue section, with a representative image of. Mainly cytoplasmic but also nuclear staining in several tissues. summary of ube3a expression in human tissue. human protein atlas informationi. Ube3A Protein Atlas.
From www.frontiersin.org
Frontiers The Autism and Angelman Syndrome Protein Ube3A/E6AP The Ube3A Protein Atlas Mainly cytoplasmic but also nuclear staining in several tissues. Overview of the antibody staining. We use cookies to enhance the. human protein atlas informationi. summary of ube3a expression in human tissue. Summary of data presented in the tissue section, with a representative image of. Ube3A Protein Atlas.
From www.atlasantibodies.com
Rabbit Polyclonal AntiUBE3A Antibody Buy for research Highly Ube3A Protein Atlas summary of ube3a expression in human tissue. human protein atlas informationi. Mainly cytoplasmic but also nuclear staining in several tissues. Summary of data presented in the tissue section, with a representative image of. We use cookies to enhance the. Overview of the antibody staining. Ube3A Protein Atlas.
From www.researchgate.net
Ube3a protein shows significant reduction (>80; p≤0.05 and n = 3) in Ube3A Protein Atlas Overview of the antibody staining. summary of ube3a expression in human tissue. Mainly cytoplasmic but also nuclear staining in several tissues. Summary of data presented in the tissue section, with a representative image of. We use cookies to enhance the. human protein atlas informationi. Ube3A Protein Atlas.
From www.frontiersin.org
Frontiers UBE3A and Its Link With Autism Ube3A Protein Atlas human protein atlas informationi. Overview of the antibody staining. Summary of data presented in the tissue section, with a representative image of. We use cookies to enhance the. summary of ube3a expression in human tissue. Mainly cytoplasmic but also nuclear staining in several tissues. Ube3A Protein Atlas.
From www.cell.com
The Angelman Syndrome Protein Ube3A Regulates Synapse Development by Ube3A Protein Atlas Overview of the antibody staining. We use cookies to enhance the. summary of ube3a expression in human tissue. Summary of data presented in the tissue section, with a representative image of. human protein atlas informationi. Mainly cytoplasmic but also nuclear staining in several tissues. Ube3A Protein Atlas.
From www.frontiersin.org
Frontiers Circadian Rhythms and Sleep Are Dependent Upon Expression Ube3A Protein Atlas Overview of the antibody staining. We use cookies to enhance the. Mainly cytoplasmic but also nuclear staining in several tissues. human protein atlas informationi. summary of ube3a expression in human tissue. Summary of data presented in the tissue section, with a representative image of. Ube3A Protein Atlas.
From www.atlasantibodies.com
Rabbit Polyclonal AntiUBE3A Antibody Buy for research Highly Ube3A Protein Atlas human protein atlas informationi. We use cookies to enhance the. summary of ube3a expression in human tissue. Summary of data presented in the tissue section, with a representative image of. Overview of the antibody staining. Mainly cytoplasmic but also nuclear staining in several tissues. Ube3A Protein Atlas.
From www.proteinatlas.org
UBE3A Antibodies The Human Protein Atlas Ube3A Protein Atlas Overview of the antibody staining. Summary of data presented in the tissue section, with a representative image of. summary of ube3a expression in human tissue. Mainly cytoplasmic but also nuclear staining in several tissues. human protein atlas informationi. We use cookies to enhance the. Ube3A Protein Atlas.
From www.researchgate.net
The ubiquitinprotein ligase E3A (UBE3A), the microtubuleassociated Ube3A Protein Atlas Overview of the antibody staining. summary of ube3a expression in human tissue. Mainly cytoplasmic but also nuclear staining in several tissues. We use cookies to enhance the. Summary of data presented in the tissue section, with a representative image of. human protein atlas informationi. Ube3A Protein Atlas.
From www.researchgate.net
The ubiquitinprotein ligase E3A (UBE3A), the microtubuleassociated Ube3A Protein Atlas Overview of the antibody staining. human protein atlas informationi. We use cookies to enhance the. Mainly cytoplasmic but also nuclear staining in several tissues. summary of ube3a expression in human tissue. Summary of data presented in the tissue section, with a representative image of. Ube3A Protein Atlas.
From www.researchgate.net
The ubiquitinprotein ligase E3A (UBE3A), the microtubuleassociated Ube3A Protein Atlas Overview of the antibody staining. We use cookies to enhance the. Mainly cytoplasmic but also nuclear staining in several tissues. Summary of data presented in the tissue section, with a representative image of. summary of ube3a expression in human tissue. human protein atlas informationi. Ube3A Protein Atlas.
From www.researchgate.net
UBE3A T485A depletes multiple endogenous proteasome subunits. A Ube3A Protein Atlas Summary of data presented in the tissue section, with a representative image of. summary of ube3a expression in human tissue. Overview of the antibody staining. human protein atlas informationi. We use cookies to enhance the. Mainly cytoplasmic but also nuclear staining in several tissues. Ube3A Protein Atlas.
From www.pnas.org
Genomic imprinting of experiencedependent cortical plasticity by the Ube3A Protein Atlas We use cookies to enhance the. Overview of the antibody staining. Summary of data presented in the tissue section, with a representative image of. human protein atlas informationi. summary of ube3a expression in human tissue. Mainly cytoplasmic but also nuclear staining in several tissues. Ube3A Protein Atlas.
From www.frontiersin.org
Frontiers UBE3A An E3 Ubiquitin Ligase With GenomeWide Impact in Ube3A Protein Atlas Mainly cytoplasmic but also nuclear staining in several tissues. Overview of the antibody staining. summary of ube3a expression in human tissue. human protein atlas informationi. We use cookies to enhance the. Summary of data presented in the tissue section, with a representative image of. Ube3A Protein Atlas.
From www.proteinatlas.org
Subcellular UBE3A The Human Protein Atlas Ube3A Protein Atlas Overview of the antibody staining. human protein atlas informationi. Mainly cytoplasmic but also nuclear staining in several tissues. We use cookies to enhance the. summary of ube3a expression in human tissue. Summary of data presented in the tissue section, with a representative image of. Ube3A Protein Atlas.
From www.frontiersin.org
Frontiers Circadian Rhythms and Sleep Are Dependent Upon Expression Ube3A Protein Atlas Mainly cytoplasmic but also nuclear staining in several tissues. Overview of the antibody staining. We use cookies to enhance the. human protein atlas informationi. Summary of data presented in the tissue section, with a representative image of. summary of ube3a expression in human tissue. Ube3A Protein Atlas.
From www.pnas.org
UBE3Amediated PTPA ubiquitination and degradation regulate PP2A Ube3A Protein Atlas summary of ube3a expression in human tissue. Overview of the antibody staining. Mainly cytoplasmic but also nuclear staining in several tissues. Summary of data presented in the tissue section, with a representative image of. human protein atlas informationi. We use cookies to enhance the. Ube3A Protein Atlas.